All-on-4は、骨が少ない方にも対応することが可能となる治療方法です。
インプラント治療が難しいと言われた経験のある方、欠損歯数が多く現在入れ歯にお悩みの方、残っている歯の多くがぐらぐらしており噛む事、喋る事に苦労されている方、ご自分の歯の見た目が気になって人前で歯を見せて笑う事に抵抗がある方など、お悩みのある方は是非ご相談ください。

All-on-4は歯周病などにより多くの歯がぐらぐらしたり失ってしまった方のためのインプラント治療です。
従来多くの歯を失ってしまった方にインプラント治療を行う為には骨の移植などが必要となる場合が多く、治療期間がかかってしまったり、術後の腫れも大きいという難点がありました。しかし、All-on-4はインプラントを骨のある部位に斜めに埋め込み、力を広く均等に配分させることにより、最小4本のインプラントで全ての人工歯を支えることができます。
手術の負担や治療期間を必要最小限に抑えることが可能となる治療法、それがAll-on-4です。
All-on-4は、骨が少ない方にも対応することが可能となる治療方法です。
インプラント治療が難しいと言われた経験のある方、欠損歯数が多く現在入れ歯にお悩みの方、残っている歯の多くがぐらぐらしており噛む事、喋る事に苦労されている方、ご自分の歯の見た目が気になって人前で歯を見せて笑う事に抵抗がある方など、お悩みのある方は是非ご相談ください。
治療後には天然の歯や通常とインプラントと同様メインテナンスが必要となり、それが不適切な場合、埋入したインプラント周囲の炎症や感染などのリスクがあります。
一般的な局所麻酔から、点滴により眠ったような状態を維持する静脈内沈静による治療が可能です。
施術の内容や患者様のご希望も踏まえて最適な麻酔の方法を選ぶことが可能です。
静脈内沈静下における手術では麻酔科担当医がチームに加わり生体情報をモニターしながら患者様の安全を確保しています。
術後から生涯に渡り、個々の患者様のライフスタイルに合わせて口腔管理のサポートをいたします。
メインテナンスで口腔内の把握を行うことはもちろん、上部構造の経年的な摩耗や破損に対する確実なフォローを行います。
また、定期的なメインテナンスに通っていただいている方で、当院で行ったインプラントに何か問題が出た場合は5年以内であれば全て無料で対処をさせていただきます。

1
2
3
4
5
6
All-on-4はまだ最先端の治療方法であることもあり、長期予後を評価した学術論文が少ないのが現状ですが、文献での残存率は95%を超えています。しかし、術後のメインテナンスの状況で大きく変わってくるため、ご自身の歯と同様適切なメインテナンスが必要です。
All-on-4に年齢的な制限はありません。
ご高齢になると全身疾患や体力的な衰えを心配される方もいらっしゃいますが、All-on-4は必要最小限の手術侵襲で治療が可能です。(未成年の方のインプラント治療は顎の発達を阻害する可能性があるため16歳以上が目安であると言われています。)
All-on-4は骨がある部位にインプラントを埋入する治療法の為、他院で骨が少ないからインプラント治療は難しいと断られた場合でも対応できる可能性が高いです。また手術により骨を増やすことも可能なためインプラント治療が不可能な方はほとんどおられません。
是非一度ご相談ください。
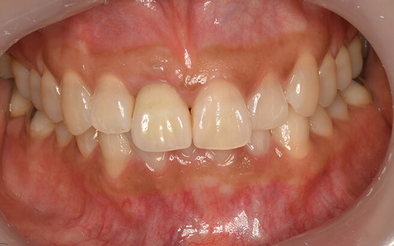
治療前
治療後
| 治療内容 | インプラント治療 |
|---|---|
| リスク | インプラント周囲炎の可能性があるためメンテナンスが必要 |
| 治療費 | 3,300,000円 |
治療前
治療後
| 治療内容 | インプラント治療 |
|---|---|
| リスク | インプラント周囲炎の可能性があるためメンテナンスが必要 |
| 治療費 | 1,900,000円 |
治療前
治療後
| 治療内容 | インプラント治療 |
|---|---|
| リスク | インプラント周囲炎の可能性があるためメンテナンスが必要 |
| 治療費 | 4,100,000円 |
治療前
治療後
| 治療内容 | インプラント治療 |
|---|---|
| リスク | インプラント周囲炎の可能性があるためメンテナンスが必要 |
| 治療費 | 3,400,000円 |
治療前
治療後
| 治療内容 | インプラント治療 |
|---|---|
| リスク | インプラント周囲炎の可能性があるためメンテナンスが必要 |
| 治療費 | 420,000円 |
治療前
治療後
| 治療内容 | インプラント治療 |
|---|---|
| リスク | インプラント周囲炎の可能性があるためメンテナンスが必要 |
| 治療費 | 2,300,000円 |
【所在地】
〒870-0839
大分県大分市金池南1丁目11番30号
大分駅より徒歩5分
【診療時間】
平日 9:00-13:00/14:00-17:30(2025年4月まで)
9:00-13:00/14:00-17:00(2025年5月より)
土曜 8:00-12:00/13:00-16:00
休診 日曜日・祝日・他